王永铭名中医工作室
首页 -> 学术成果

学术成果

安康市中医医院官方微信
学术成果

反复踝关节扭伤并非巧合,背后“真凶”要重视!

发布时间:2021-05-01  浏览次数:1254 次     

踝关节是人体最大的负重关节,踝关节的稳定对于日常生活和体育活动起到了至关重要的作用。踝关节扭伤是一种比较常见的运动损伤,占所有运动损伤性疾病的15%~20%,多见于一些酷爱运动的年轻人。若踝关节扭伤治疗不当可导致踝关节不稳,反复损伤会进一步出现关节软骨破坏,最终发展为踝关节炎,造成踝关节功能下降,疼痛症状会严重影响患者的日常活动,降低患者生活质量。本文主要针对慢性踝关节不稳的定义及流行病学特点、临床表现、分型分度、影像学检查以及治疗方案进行简单介绍,值得学习借鉴。

图片


慢性踝关节不稳的定义及流行病学特点


慢性踝关节不稳定是指反复发作的踝关节外侧不稳定导致多次踝关节扭伤。慢性踝关节不稳可以分为功能性不稳和机械性不稳。功能性不稳是指由于本体感觉、神经肌肉控制、姿势控制和力量不足导致的;机械性不稳是指由于踝关节解剖结构改变引起的,这些改变包括韧带的病理性松弛、关节运动受损、滑膜炎和撞击、退行性改变等。


功能性不稳不涉及器质性病变,两者之间最大的差别就是关节运动幅度是否处于正常范围,但因为两者之间存在一定程度共存,所以有时很难予以区别。


据报道,在室内运动人群中每1000人就有7个人会出现踝关节扭伤,但只有50%的人会积极寻求医疗干预,在急性踝关节扭伤患者中由于治疗不当会有约30%的患者发展为慢性踝关节不稳。在慢性踝关节不稳患者中约有96.5%为踝关节外侧不稳,3.5%为内侧不稳,严重者将造成永久性功能障碍。


慢性踝关节不稳的临床表现


慢性踝关节不稳患者既往都曾遭受过踝关节扭伤病史。最常见的临床症状为复发性打软腿并伴随有踝关节不适感、肿胀、疼痛以及自觉踝关节功能下降等。临床上常用的体格检查包括前抽屉试验、踝关节内翻试验、评估腓骨肌腱以及本体感觉检查。


踝关节前抽屉试验主要是用来评估距腓前韧带稳定性,具体操作:患者取坐位,膝关节屈曲约90°,同时踝关节跖屈约20°,检查者一只手握住胫骨远端前方,另一只手半握呈杯状放在患者的跟骨后方,用力将跟骨和距骨相对于胫骨向前推。与健侧做对比,若距骨移位程度增大为阳性。


踝关节内翻试验是用来评估跟腓韧带稳定性,具体操作:保持踝关节中立位,内翻跟骨,与对侧踝关节对比活动度,活动度比对侧大则为阳性。

图片


慢性踝关节不稳的分型分度


解剖分型:

1)Ⅰ型:距腓前韧带损伤;

2)Ⅱ型:距腓前韧带和跟腓韧带损伤;

3)Ⅲ型:距腓前韧带、跟腓韧带和距腓后韧带损伤。


美国医师协会(AMA)根据其损伤程度分度:

1)Ⅰ度:韧带拉伤;

2)Ⅱ度:韧带部分撕裂;

3)Ⅲ度:韧带完全撕裂。


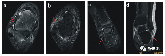
图片

a.箭头所示为正常ATFL信号,形态规则,信号均匀,走形完整;b.箭头所示ATFL信号紊乱,未见形态完整的韧带组织;c.箭头所示为正常CFL信号,形态规则,信号均匀,走形完整,韧带存在良好的张力;d.箭头所示CFL信号紊乱,韧带迂曲松弛,韧带止点有高信号填充,疑似止点撕脱,外踝软组织肿胀明显(来自参考文献1)


慢性踝关节不稳的影像学检查


目前针对慢性踝关节不稳常用的影像学检查方式包括X线片检查、超声检查以及核磁共振检查等。


X线片检查可见不同程度骨赘形成,具有踝关节退行性变化。应力位X线片检查更具有临床诊断价值。


超声检查对于踝关节韧带损伤可以做出较为直接的诊断,并且可以进行动态观察,有时可能需要进行双侧对比检查。


目前MRI是诊断慢性踝关节不稳最好的方法,与X线片和超声检查相比,可以直观地显示受累韧带是否有水肿、增粗或连续性中断,可用于慢性踝关节不稳早期诊断,漏诊率低,临床应用广泛。所有影像学诊断的准确性受临床经验的影响。     

                         

图片上图为关节镜下Broström术式治疗慢性踝关节不稳,关节镜辅助下在外踝部置入两枚带线锚钉,两锚钉之间距离约0.5cm(来自参考文献5)


图片

上图为全镜下无结锚钉技术修复距腓前韧带治疗慢性踝关节外侧不稳手术操作示意图。a使用过线器穿刺韧带残端并引入碳纤钢丝,红箭头示切口;b用碳纤钢丝引入套环线并捆扎韧带残端(箭头示);c用无结锚钉穿入尾线并将锚钉置入足印区,恢复张力、固定韧带残端;d韧带修复后示意图,镜下检查韧带止点修复满意,韧带张力适中(来自参考文献9)


图片

上图为关节镜下改良Broström术式治疗慢性踝关节外侧副韧带损伤。a.患者术前绘制体表标志;b.在腓骨远端置入锚钉;c.两颗锚钉各带一根线;d.使用肝针或suturelasso进行过线(来自参考文献1)


慢性踝关节不稳的治疗


临床上踝关节扭伤首选治疗方式为保守治疗,大部分患者经保守治疗后症状会得到改善,但是仍有部分患者症状会持续存在。临床上认为保守治疗6个月以上症状未见明显好转需要进行手术干预,手术的目的是修复松弛或撕裂甚至断裂的韧带,重建踝关节的机械稳定性,最大程度恢复患者踝关节功能。


踝关节功能性不稳定没有器质性改变,手术治疗效果往往不佳,主要通过功能训练与矫形器改善本体感觉缺失和平衡能力的降低。保守治疗的方案包括女性患者可以通过穿平底鞋来减轻症状;束带、护踝、高帮运动鞋均可缓解慢性踝关节不稳定者的症状。


图片

上图为开放手术治疗慢性踝关节外侧副韧带损伤。a.切开外踝韧带复合体;b.置入锚钉;c.缝合残余韧带组织及伸肌下支持带,收紧打结;d.缝合切口(来自参考文献1)


慢性踝关节不稳手术治疗分为韧带修复和韧带重建,韧带重建又分为解剖重建和非解剖重建。以Broström术式及其改良术式临床应用最为广泛,占所有踝关节韧带修复手术的80%左右。


Broström术式是1966年由LennartBroström首次提出的一种解剖修复踝关节外侧副韧带损伤的手术方式,其可以直接修复距腓前韧带和跟腓韧带,不影响踝关节及距下关节活动范围。


Gould等人对该术式进行了改良,提出利用伸肌下支持带进一步加强修复。开放改良的Brostrom-Gould术已作为外踝韧带稳定术参考的“金标准”。该手术主要适用于受损韧带有足够的长度行重叠缝合的患者,韧带起止点损伤修复效果不佳。


目前移植解剖重建为韧带重建大的流行趋势,不同文献报道了多种移植物进行重建。腓骨长短肌腱强度合适,但因为该韧带为踝关节外侧稳定结构,取材后影响足部功能;股薄肌腱薄且长度不足,仅能用于距腓前韧带重建,不能同时用于跟腓韧带重建;同种异体材料重建术后早期功能恢复在一定程度上优于自体肌腱重建,但有可能出现排异反应且具有愈合时间更长的不足;半腱肌肌腱强度及长度均合适,是一种良好的自体移植取材选择。


图片

上图为关节镜下行外侧韧带修复术治疗慢性踝关节外侧不稳症。A:在腓骨尖植入锚钉;B:理好锚钉线准备缝合距腓前韧带;C:缝合钩缝合距腓前韧带。(来自参考文献7)


图片

图1术前标记解剖标志及“安全区”(A);使用刨削刀头和射频消融清理外侧关节囊及韧带病损处,关节镜下确定锚钉的安放位置,前外侧通道通过套管在腓骨远端前表面拧入锚钉(B,C);使用拉索“outside-in”技术尽可能穿过支持带和关节囊后从通道退出引出锚钉线(D)(来自参考文献8)  


临床手术入路也是多种多样,有开放入路也有关节镜入路。1987年Hawkins第一个描述了踝关节镜用以治疗慢性踝关节不稳,从那时起踝关节镜技术和器械得到了很大的发展,为进一步更好的治疗慢性踝关节不稳奠定了基础。


目前踝关节镜下治疗慢性踝关节不稳已经逐步在临床得到推广应用,大量研究报道显示出了良好的治疗效果,被认为是治疗慢性踝关节不稳更好的选择。

安康市中医医院 版权所有 All Rights Reserved
地址:安康市汉滨区巴山东路47号(总院) 安康市高新区创新路南侧(高新院区) 联系电话:0915—8183608(总院) 2310368(高新院区) 8119999(急救电话)
备案号:陕卫网审[2011]第0003号 陕ICP备:11010322号